Your Smile is your Best Accessory
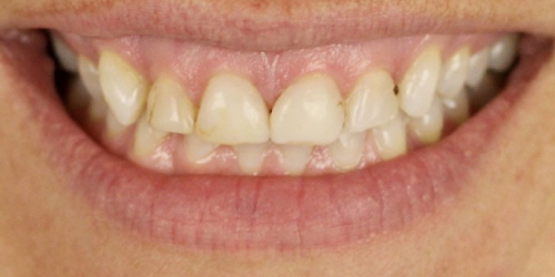
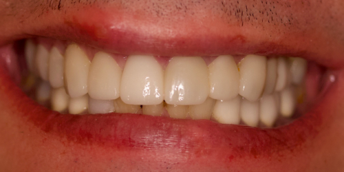
Dr. Pia’s no drill technique preserves your teeth and perfects your smile.























Meet Dr. Pia
Dr. Pia Lieb combines extraordinary artistic talent, technical mastery, creativity, and an unrivaled eye for beauty to create smiles that are as natural as they are breathtaking.
With over 30 years of experience, she is the trusted cosmetic dentist for royalty, Oscar-winning actors, international supermodels, fashion icons, musicians, CEOs, and tastemakers worldwide. Nicknamed the “Michelangelo of Dentistry,” she is the creator of The Dr. Pia Method™, a proprietary no-prep or minimally invasive approach that designs an ideal smile directly on a patient’s natural teeth without filing or drilling.
Her handcrafted feldspathic porcelain veneers and crowns are layered by master ceramists to replicate the exact tone, translucency, surface texture, and light diffusion of natural enamel. Whether restoring a single front tooth or all 28, her work is undetectable: refined, harmonious, and uniquely tailored to the individual.
Dr. Pia is a vocal advocate for preserving the disappearing art of hand-layered porcelain in a field increasingly dominated by thick, bulky, monochromatic 3D-printed restorations, which she critiques for lacking the vibrance and character of true enamel.
A revolutionary, no drill technique that preserves your natural teeth and creates the smile of your dreams.
Celebrity Testimonials












































Patient Reviews
From Refugee to Global Icon
Dr. Pia is a globally recognized dentist known for her refined artistry and heartfelt, world class care shaped by her multicultural roots.
Early Life & Education
At age five, Dr. Pia escaped communist Romania in a Fiat 500 and spent nearly two years in an Italian refugee camp before immigrating to the U.S. By age seven, she had already decided to become a doctor. She graduated high school at sixteen and later earned her DDS from NYU College of Dentistry.
Academic & Global Expertise
Dr. Pia spent 18 years as a Clinical Assistant Professor at NYU, where she now holds the title of Emerita, and has also taught internationally at Tel Aviv University. Fluent in five languages, she connects with a diverse patient base across the U.S., Europe, Canada, Australia, the Middle East, and Africa.
@doctor.pia
Error: No feed with the ID 2 found.
Please go to the Instagram Feed settings page to create a feed.
Blog
- View More